안녕하세요 품동물의료센터입니다!
오늘은 개의 자궁 낙농증에 대한 포스팅을 준비해 보았습니다.
어떤 아이들이 주머니를 찾아왔는지 케이스를 살펴봅시다. ~

이 아이는 7세 중성화되지 않은 암컷으로 식욕 부진, 심한 떨림 증상을 보였습니다.
내원 당시 생식기에서 끈끈한 삼출물이 분비되었으며 검사상 높은 급성 염증치가 확인되었습니다.

✔ 새로운 수치 증가 ✔ 염증으로 인한 단백질 수치 증가

✔ 전신 염증 수치 증가 ✔ 대사성산증 ✔ 일부 전해질 불균형 및 탈수 ✔ 유산 수치 증가
어린이는 지속적인 식욕 부진으로 탈수 증상을 보였고 검사상 염증 수치가 증가하여 대사성 산증이 확인되었습니다.강아지의 궁축농증이란?
중성화되지 않은 암캐들은 모두 자궁을 가지고 있어요.
자궁 축농증은 말 그대로 자궁에 고름이 축적되어 문제를 일으키는 질환을 말합니다.
빠르게 발견하고 즉각적인 수술을 받으면 대부분 매우 빠르게 호전돼 건강을 되찾을 수 있습니다.
그런데 문제는 보호자가 이를 인지하지 못한 채 시간이 지나 병원에 내원하는 경우가 많습니다.자궁에 조금만 닿아도 금방이라도 파열될 것처럼 부풀어 오른 상태가 되거나 몸 안에서 파열될 수도 있습니다.
실제로 강아지의 자궁낙농증 치료를 위해 저희 병원을 내원한 많은 어린이들이 이런 경우가 많으며 수술 후 사진을 보면 자궁이 원래보다 수십 배 확장되고 있습니다.
만약 대량의 고름이 안에서 폭발하면 체내에 수많은 세균이 퍼져 생명에도 큰 위협을 줄 수 있습니다.


✔ 자궁경색 증가 ✔ 염증으로 인한 심한 자궁내막 비후
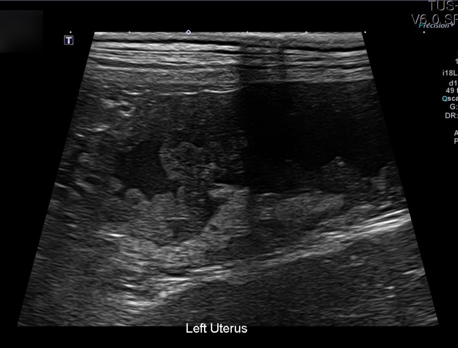
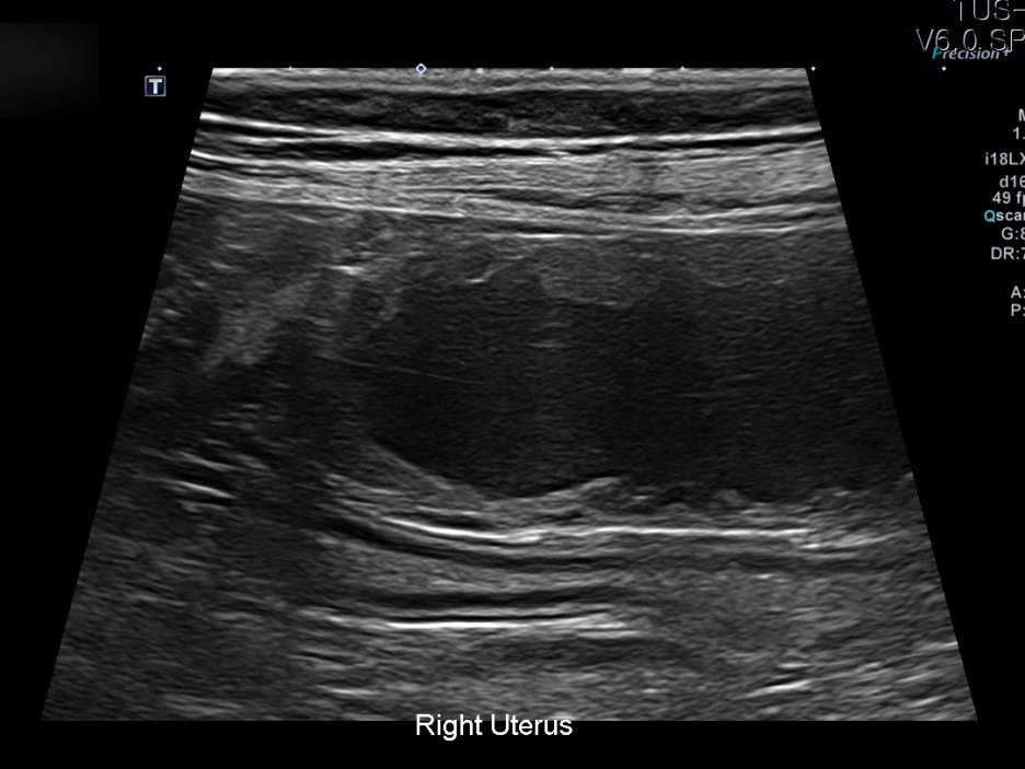
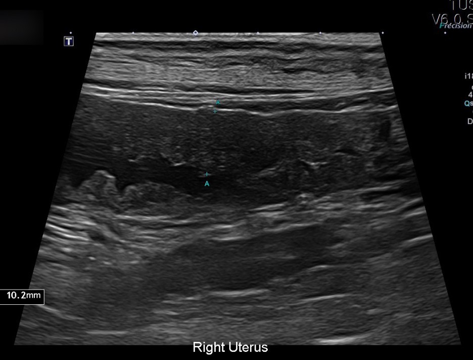
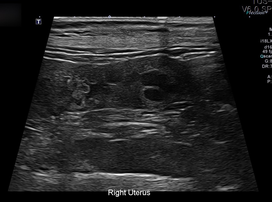
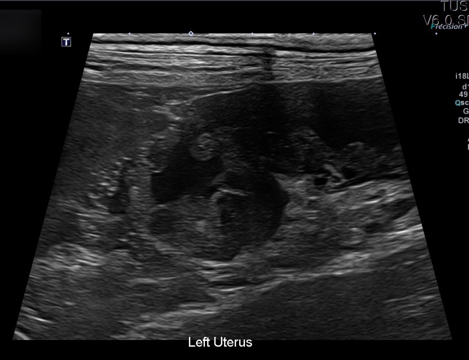
이어 진행된 초음파 검사에서는 자궁축농증으로 인해 내막이 두꺼워지고 크기가 커지는 염증성 변화가 진행되고 있었습니다.






개의 자궁축농증은 빠른 수술적 처치가 이루어지지 않을 경우 전신패혈증이 나타나 사망에 이를 수 있으며, 본원에서는 탈수 및 대사성산증 개선 후 수술을 진행하기로 하였습니다.

제거한 자궁과 난소
다행히 수술 후 염증 수치가 빠르게 감소하여 현재는 후유증 없이 잘 지내고 있습니다.
또한 수술 전 진행된 검사 중 심장질환이 발견되어 저희 병원에서 투약과 정기적인 검사를 받아 관리하고 있습니다.
이렇게 계속 건강관리만 잘해주면 오랫동안 가족과 함께 지낼 수 있겠죠?6세의 이 아이 역시 개가 되자 궁축농증으로 수술을 받았습니다.
내원 당시 환자의 증상은 이랬습니다.
✔생식기를 계속 핥으면 피냄새가 심하다 ✔간결한 요실금 증상 ✔식욕 부진, 기력 저하
체온도 39.5도 이상 고체온이 지속되고 호흡수도 빨라 생식기 주변의 혈액성 삼출물이 관찰됐습니다.

수술 전 BW

수술 전 CBC

수술 전해질
✔ 혈액검사 mildanemia, CRP, WBC, Globulin 상승 전해질 불균형 (K상승)






✔US 양 자궁내막증식, 자궁각내삼출물에 의한 심한 확장소견



자궁노출 → 좌자궁각 및 난소절제 → 좌자궁각 혈관결찰



오른쪽 축 자궁각 혈관결 → 오른쪽 자궁각 및 난소절제 → 양쪽 자궁각 및 난소절제 후
수술 전 1일간 입원하여 먼저 빈혈 관리, 전해질 불균형 교정을 실시하였습니다.
상태 호전을 위한 치료가 이루어졌고 다음날 수술에 들어갔습니다.
호흡 마취 후 개복하여 양쪽 난소 및 자궁을 제거하였습니다.



자궁체 절제 → 제거한 자궁 → 자궁내 혈액성 농성 삼출물
강아지의 자궁축농증이 있는 자궁은 이렇게 쌓인 고름처럼 사진처럼 팽창하게 된다.
이 환자의 자궁 내에는 혈액성 농성 삼출물로 가득 차 있었습니다.

수술 후 CBC

수술 후 CRP
다행히 수술 후에는 바로 식욕을 회복하는 모습을 보였고 충분한 CPR 감소를 확인하고 퇴원했습니다.
퇴원 후 정기적으로 내원하면서 방광염과 빈혈 관리를 받고 있습니다.

오늘 품동물의료센터에서 준비한 케이스는 정확한 진단과 빠른 수술적 처치로 전신질환으로 진행되기 전에 치료한 케이스입니다.
개의 자궁축농증은 중성화를 할 경우 충분히 예방이 가능한 질환이나 발병할 경우 처치가 늦어지면 패혈증으로 사망하는 위험한 질환입니다.
따라서 적절한 시기에 중성화를 진행하여 조기 예방하는 것이 좋습니다.



