미리 알 수 있습니다. 경동맥 초음파 검사로 동맥경화

안녕하세요 영원의 24 트웬디포입니다.

콜레스테롤 수치가 높거나 고지혈증 약을 복용하고 있는 분 또는 뇌혈관질환자에게 가족력이 있는 분에게 강하게 권고하는 경동맥 초음파 검사에 대해 포스팅하고자 합니다.

경동맥(Carotid) 대동맥에서 갈라져 목을 통해 머리나 얼굴에 피를 보내는 동맥. 중목동맥과 바깥쪽 목동맥이 있다. – 네이버 국어사전

경동맥은 심장에서 산소를 포함한 깨끗한 피를 머리로 보내는 길입니다.

경동맥 검사를 하는 이유

기저질환으로서 고지혈증과 큰 연관성이 있습니다.

콜레스테롤 수치가 높아지면 동맥 벽에 찌꺼기가 생기고 죽상 경화를 일으켜 혈관벽이 점점 두꺼워집니다. 깨끗한 피가 머리에 잘 가지 않도록 길이 좁아지고 경동맥경화반-경동맥협착증이 됩니다.

또한 나이가 들면서 혈관도 노화되어 두꺼워지기도 합니다.

경동맥 검사를 하는 궁극적인 목표는 머리로의 혈류 공급이 원활한지 보는 데 있지만 사실 경동맥을 검사하면 전신 동맥의 상태를 간접적으로 알 수 있습니다.

혈액이 경동맥에만 흐르는 것이 아니라 전신순환을 하기 때문에 경동맥이 두꺼워졌다면 심장에 혈류를 공급해주는 관상동맥도 두꺼워졌을 가능성이 높습니다.따라서 경동맥경화증, 경동맥협착증 외에 죽상동맥경화증, 동맥경화증이라는 용어를 사용하기도 합니다.

한 번 두꺼워진 혈관 벽은 다시 넓어질 수 없기 때문에 예방이 가장 중요합니다.

경동맥 초음파 검사 비용

현재 경동맥 초음파 검사는 일반 의원에서 비급여 항목입니다.따라서 병원마다 금액이 조금씩 다를 수 있습니다.3만원, 5만원, 10만원 등 진료받는 기관에 전화해서 의뢰하는 것이 가장 좋은 방법입니다.

경동맥 초음파 검사 방법

carotid sonographic study

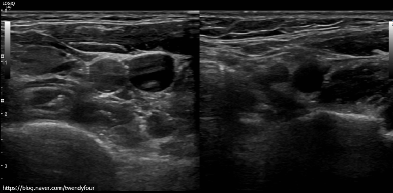
경동맥은 양쪽에 하나씩 있고, 경동맥 초음파를 볼 때도 하나씩 검사가 들어갑니다.

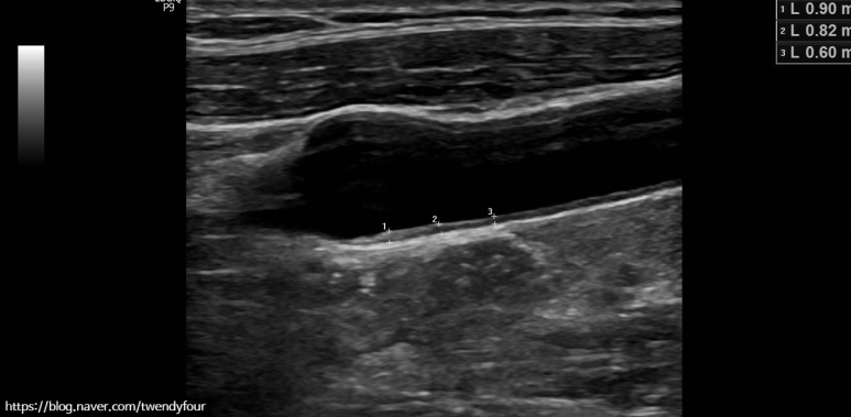
IMT measurement

경동맥 초음파 검사에서 가장 중요한 동맥의 두께를 측정합니다.

경동맥은 내경동맥(ICA;머리로의 혈관), 외경동맥(ECA;얼굴로의 혈관)으로 나뉘는 분지부가 다른 부분보다 굵어지므로 반드시 혈관벽 상태를 측정합니다.

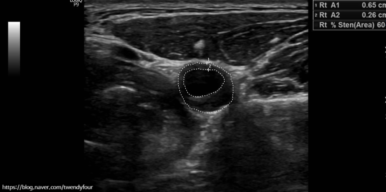
45세 남성, 경동맥 혈관 벽이 60% 좁아져 있다.

만약 혈관 벽이 두꺼워지고 혈관 벽이 좁아졌다면 얼마나 두꺼워졌는지 퍼센트로 경동맥 협착증을 확인합니다.정밀경동맥 초음파 검사는 경동맥 혈관 벽이 50% 이상 두꺼워진 분에게 더 깊이 들어갑니다.

혈류 상태를 컬러로도 확인할 수 있으며, 경동맥 초음파를 정밀 도플러 검사로 혈류 속도를 측정합니다.이 검사를 통해 혈관 벽의 좁기 유무를 확인할 수 있어요.

경동맥 중의 내경동맥, 머리에 혈관의 정밀 경동맥 초음파 검사 사진입니다.

반대편 왼쪽도 경동맥 검사가 똑같이 들어갑니다.

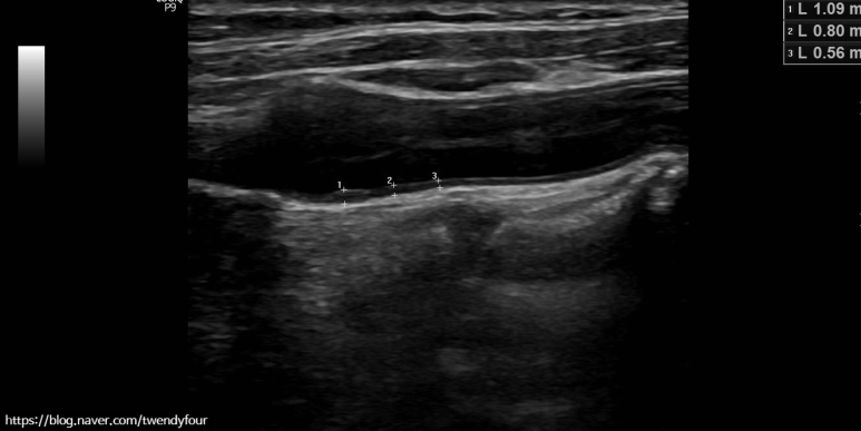
혈관 벽이 두꺼워졌는지 측정합니다.

경동맥의 혈액 순환 속도를 측정해 줍니다.

머리로의 좌측 내경동맥의 혈류속도를 확인하여 협착여부를 간접적으로 확인합니다.눈으로 얼마나 좁아졌는지도 중요하지만 사실 이 검사가 정말 중요합니다.

경동맥 초음파 정밀검사 저는 60을 넘었다면 특별한 기저질환이 없더라도 한 번쯤 검사를 받아보셨으면 합니다.

증상이 없어도 뇌졸중, 심근경색이 올지 사전에 예측할 수 있는 가장 쉽고 정확한 경동맥 초음파 검사입니다.

error: Content is protected !!